海关AEO认证全流程服务,100%通过

 找回密码
 注册

QQ登录

只需一步,快速开始

手机号码,快捷登录

手机号码,快捷登录

在线
客服

在线客服服务时间: 9:00-24:00

选择下列客服马上在线沟通:

快速
发帖

客服
热线

010-62010715
7*24小时客服服务热线

关注
微信

关务资讯公众号
顶部
海关AEO认证申请全攻略2022年预归类师考试秘籍中国船务课程视频2020年关务水平测试培训
申请进出口商品预归类视频!AEO认证政策解读商品归类在线解答海关AEO认证,100%通过
AEO认证服务网北京岸谷关务官网预归类服务-归类师权威操作预归类考试网
查看: 35735|回复: 0

【卫生检疫】口岸蠓类监测,黄埔海关在行动

[复制链接]
发表于 2024-6-13 15:51:40 | 显示全部楼层 |阅读模式
w1.jpg

w2.jpg

口岸蠓类监测,黄埔海关在行动

w3.jpg

刚出去一下,就被咬了一腿包,秋蚊子那么厉害的吗?

w4.jpg

w5.jpg

看着不像蚊子包啊,是不是被蠓咬了。

w6.jpg

蠓可比蚊子还小,咬的比蚊子还猛,可不像名字那么萌。

    měng



秋季出游,你是否常看到一种小黑虫,比蚊子更“隐形”、攻击力更强,

南方人把它称之为小咬,学名叫“蠓”。

蠓是一种可传播多种疾病的昆虫,成虫体长短小,约1-4mm,全世界已知的超6000种,我国已知的约1000余种,部分蠓类有吸血习性,我国约有吸血蠓类400多种,包括细蠓属、蠛蠓属、库蠓属等。

w7.jpg

蠓成虫侧面图

成蠓多栖息于草坪、树林、竹林、杂草、洞穴等避风和避光处,当温度、光线适宜,无风晴天,在草坪、田野、树林、溪边常可见成群的蠓群舞。

蠓类孳生环境和活动规律因种群而异,库蠓属成虫在日出前和日落后活动最频繁,勒蠓属和拉蠓属则在天亮后活动较频繁,天蠓属在阴天和无风的时候活动频繁。

w8.jpg

不同蠓类的季节消长与其种属和当地气候相关。在热带地区的蠓类成虫全年都可出现;温带的蠓类主要出现在二、三季度,随气温和降雨量上升,高峰常出现在8月下旬至9月下旬;寒带吸血蠓类季节消长呈现春末、秋初两个高峰。

w9.jpg

   蠓类的危害

1

叮刺吸血。雌性成蠓有叮刺吸血习性,叮刺吸血时会分泌抗血凝物质,且其唾液呈酸性,对人和温血动物的皮肤具有很强的刺激性。叮刺后容易出现严重瘙痒、疼痛症状,还可引发过敏性和继发性皮炎。

2

传播疾病。蠓是蓝舌病、奥罗普切热、丝虫病等虫媒病和人畜共患病的传播媒介。上世纪50年代,我国曾在福建、广西两省的蠛蠓中分离出乙型脑炎病毒。

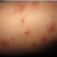
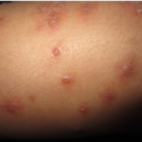
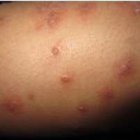
w10.jpg

w11.jpg

蠓类叮咬后的皮肤症状

黄埔海关防控措施

1.扎实做好口岸区域监测

在口岸范围内开展蠓类病媒生物监测工作,准确掌握蠓类等病媒生物种群构成、季节消长及携带病原体情况,今年以来,我关共捕获“台湾蠛蠓”“同体库蠓”108只。

w12.jpg

2. 加强输入性病媒生物监测

关注境外虫媒传染病疫情流行情况,对出入境交通工具、集装箱等进行输入性蠓类监测。

w13.jpg

3.督促企业做好联防共治

加强监督指导,督促口岸运营单位落实主体责任,定期开展病媒生物控制工作,控制病媒生物密度,筑牢生物安全防线。

w14.jpg

图片来源于网络

内容供参考,如有调整请以最新要求为准

供稿单位:卫生检疫处、黄埔新港海关、新沙海关

w15.jpg
*滑块验证:
您需要登录后才可以回帖 登录 | 注册

本版积分规则

关闭

站长推荐上一条 /2 下一条

QQ|Archiver|手机版|小黑屋|外贸精英网 ( 京ICP备19046145号 )

GMT+8, 2026-3-21 05:07

Powered by Discuz! X3.5 Licensed

Copyright © 2001-2026 Tencent Cloud.

快速回复 返回顶部 返回列表